When you bring home a new puppy, the last place you expect to end up is the vets… but unfortunately, that’s exactly what happened to little Lily! 💛

Beautiful Lily!
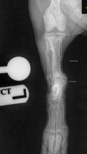
At just 4 months old, Lily (weighing only 3kg) jumped down awkwardly and suddenly became non-weight bearing lame on her left hind limb. She was seen by Emma, one of our orthopaedic surgeons, in our orthopaedic department. Radiographs of Lily’s leg revealed a long oblique fracture of the tibia and fibula, with instability felt on palpation.

Pre-op radiograph showing Lily’s fracture
A Delicate Repair
Given how young and tiny Lily was, careful planning was essential. The fracture was repaired using an external fixator – a system of threaded pins placed into the bone and connected externally with rods and clamps to stabilise the fracture.
Because Lily is still growing, it was absolutely imperative that the pins did not interfere with her growth plates. To ensure precise placement, Emma used fluoroscopy (intraoperative radiographs) during surgery.
With Lily’s tibia measuring only 4cm in length, there was very little room for error, accuracy was critical.
Recovery & Healing
Lily was significantly more comfortable immediately post-op and began weight bearing straight away. Over the following weeks, her lead exercise was gradually increased.

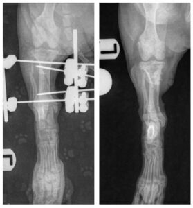
Lily’s immediate post-op & 6 week post-op radiographs!
Repeat radiographs confirmed the best possible news – the fracture had healed beautifully allowing us to remove the external fixator.
Now, Lily will slowly build back up to full activity over the coming weeks, before returning to her favourite job of being a wonderfully crazy puppy again! 🐾

Lily enjoying cuddles and treats with one of our nurses, we really do have the best job! ❤️


