Kes is a lovable, young, and very active boy. When his owners dared to try and sneak away for a weekend without him, Kes decided to take matters into his own paws. After jumping at a door and landing awkwardly, he suddenly became non–weight bearing lame on his right hind limb.

His referring vets were able to palpate a fracture and promptly placed a secure bandage to immobilise the leg before sending Kes as an emergency referral to the orthopaedic department here at Bridge Referrals. Emma, one of our orthopaedic surgeons, performed radiographs of the right hind limb, which revealed a severe fracture of the tibia and fibula, with multiple fissure lines extending down the tibia.

Pre-op radiographs
These fissures made surgical repair more complex. The fracture was initially reduced using a screw to realign the bone fragments, before being stabilised with two plates — a large plate placed on the medial (inside) aspect of the tibia and another on the cranial (front) aspect. Due to the fissure lines, no screws could be placed in the central portion of the tibia, as this may have caused further propagation of the fractures.

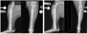
Immediate post-op & 6 week post-op radiographs
Kes was discharged the following day and has been gradually increasing his exercise over the past six weeks. He recently returned for his post-operative radiographs, and we’re very pleased to report that the fracture is healing well. The plan now is to continue a gradual increase in exercise over the next five weeks, with the goal of returning to normal activity.

Kes receiving all the cuddles from his owners at discharge!
We’re very much looking forward to seeing Kes back out enjoying his long walks again, hopefully in some sunshine and perhaps, eventually, his owners will finally manage that trip away together!


