Meet Jill the Border Terrier

Jill had an unfortunate accident while out on a walk—she slipped through some slats in a picnic bench and injured one of her front legs.
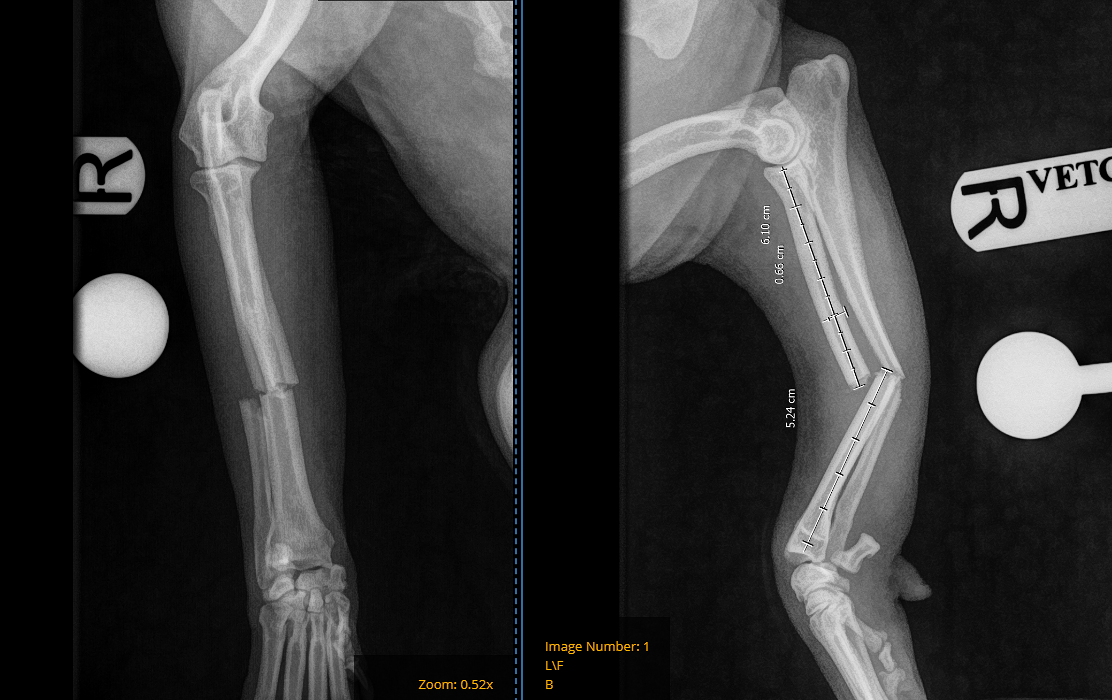
Radiographs showed she had sustained fractures to both of the bones in her foreleg—the radius and the ulna. This type of injury is quite painful and requires surgical stabilisation to heal properly and allow a return to normal function.

Pre-op X-rays
To repair the fracture, a surgical approach was made to the radius. Once the broken bone was realigned (reduced), it was stabilised using a metal plate and screws. Radiographs taken after surgery confirmed that the fracture had been accurately reduced and the implants were positioned correctly.

Immediate post-op X-rays
Jill was kept on strict rest for about a week following her surgery. As a lively puppy, she was becoming quite boisterous after this period, so she was allowed to start short lead walks to gently reintroduce activity.
At her five-week post-operative check, Jill was doing really well. She was walking without lameness, and follow-up radiographs showed good progression of bone healing.

Five-week post-op X-rays
From here, Jill can now slowly build back up to her usual exercise routine. Over the next few weeks, her walks will be lengthened and her activity gradually increased so she can safely return to all her favourite adventures.
We’re so pleased with Jill’s progress and look forward to seeing her enjoying life to the fullest again soon!


