The power of multidisciplinary care all under one roof allows us to provide your pets with the most comprehensive and effective treatment possible. This integrated approach places their health and well-being as our top priority.
Collaborative care at Bridge Referrals: A team approach
Gunner, a 7-year-old working Spaniel, was referred to our Internal Medicine team and was admitted by referral clinician Bethany Deadman for investigations of a persistent fever which was causing him to be lethargic and not want to eat normally.
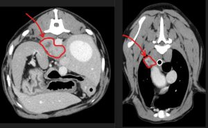
We are lucky at Bridge Referrals to have a fantastic on-site CT scanner, available for 24/7 use. A CT scan showed that Gunner had an abscess in one of his lung lobes and two abscesses behind his diaphragm (around the main arteries into his abdomen!) – shown in red on the below images.

CT images showing an abscess in one of Gunner’s lung lobes and two abscesses behind his diaphragm
These abscesses were strongly suspected to be associated with foreign bodies, so Gunner was assessed by our soft tissue surgery team and had surgery performed by Mark Gosling (EBVS European & RCVS Specialist in Small Animal Surgery) to explore the abnormal areas. As a result a grass seed was removed from his lung and two were removed from under his spine!

Grass seeds that were removed from Gunners lung and spine
Gunner was discharged home soon after surgery with the instructions of two weeks of strict rest. This was challenging as he was quickly feeling back to his usual bouncy self. He came back to see Mark around two weeks later and we were so pleased to see that he was recovering really well from his surgeries.
Gunner’s case highlights the importance of investigating persistent fevers and is a good example of one of the classic presentations of problems caused by grass seeds. The plant material is inhaled as the dog runs through a field, then enters the lung and then can migrate out into the chest cavity and then through the diaphragm under the spine. Infection can develop, leading to the patient being ‘off colour’, with lethargy, a reduced appetite and sometimes breathing difficulty. Fortunately, with prompt recognition and treatment, the long-term outlook is usually excellent.

Handsome Gunner during his post-op check with Mark
The power of multidisciplinary care under one roof cannot be overstated. It provides a level of comprehensive, coordinated care that ensures that your pet receives the best treatment possible from a team who collaborate closely on every case.
Here at Bridge Referrals we’re committed to delivering exceptional care for every pet that walks through our doors.


