PDA treatment for Onyx the 5 month old Belgian Shepherd – Malinois
Onyx was a lovely 5 month old Belgian Shepherd – Malinois when we met her in May. She had been with her owners since 4 weeks of age when an initial heart murmur was diagnosed, but they were told she would grow out of it. She had been a very bright and happy puppy as far as they could see. Bouncy and happy to play, running around the house. The only thing they had noticed was that she had not grown as much as her siblings and was now quite small for her age.
However, in the previous 4 weeks she had suddenly become a lot quieter and started to go off her food. She didn’t want to play any more and they noticed her breathing had become laboured and she developed a cough. Onyx would often sit quietly on the floor open mouth breathing. As soon as she started to exercise she would start to wheeze. She was now a very quiet and lethargic dog. At her own vets, a continuous murmur was heard and they suspected a PDA. She was referred to us for further diagnostics and possible treatment.
When I saw Onyx, she was a little quiet and sat on the floor with a raised respiratory rate. She was interested in her environment but obviously breathing was hard work for her. She had a loud 6/6 systolic murmur cranially and a 4/6 murmur at the left apex of the heart.
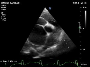
An echocardiogram showed a massive left side with both the Atrium and ventricle enlarged. The left atrium was so enlarged it made it difficult to get our normal views, but we found a clear PDA with a continuous flow in the pulmonary artery and a ductus of approximately 1.2cm. [See pics]


The most common approach to treating a PDA now is with an Amplatz device. This is a procedure where an implant is placed in the ductus via the femoral artery under fluoroscopic guidance. Obviously this requires a fluoroscopy unit and specialised training so it is not available everywhere. It is something we hope to be able to offer at Bridge in the near future, but it was not an option for Onyx. For various reasons the owners did not want Onyx referred elsewhere for this procedure so it was decided to surgically tie off the PDA via a thoracotomy.
Onyx obviously needed a general anaesthetic to proceed so the first thing to do was stabilise her congesitve failure and pulmonary odema. She was put on intravenous frusemide and pimobendan and hospitalised with oxygen as required. After two days we felt that she had clinically improved enough for surgery as her chest was clear and respiratory rate reduced. She went to surgery where she had a thoracotomy. The lung lobe was retracted for access to the heart, and we actually had to gently retract the left atrium for full access to aorta and pulmonary artery. The ductus was double ligated and it could the murmur could be clearly heard coming to a sudden stop as it was tied off. Onyx recovered uneventfully from her surgery and was maintained on nasal oxygen for a few hours. She was discharged the next day on oral pimobendan and frusemide.

Onyx came back in a week for a post operative check and the owner reported she was very bright and difficult to keep quiet. She was keen to run about if let. There was no issue with her breathing. 3 weeks later we saw Onyx again and repeated her echo. The left atrium and left ventricle were still bigger than they should have been, but there was a clear and marked reduction in size from the last time. Most importantly, there was no continuous flow seen in the pulmonary artery and no sign of a patent ductus
An interventional approach is considered to be a better way of managing a PDA as it is less invasive and leads to a quicker recovery. However, as we can see in this case, a properly managed surgical preparation and approach will also have a very positive outcome for the animal. We were delighted to be able to perform this on Onyx and give them a new lease of life and hopefully a long and happy one.




