Bridge Referrals are delighted to announce that they carried out a successful treatment for a brain tumour in a cat by performing an Craniectomy. This procedure was the accumulation of a treatment plan that involved a multidisciplinary approach from six departments (Neurology, Oncology, Ophthalmology, Internal Medicine, Soft Tissue Surgery and Diagnostic Imaging).
A craniectomy is a surgical procedure in which a portion of the skull is removed temporarily or permanently to allow access to the brain. This procedure is not often performed in the veterinary world.

Violet
Meet the splendid Violet. She presented to our Neurology Department with sudden onset neurological signs. These included circling, confusion, falling over and bumping into objects. She was becoming very quiet, with subdued mentation and she would intermittently circle to the right. Violet underwent further investigations which included full blood screening, urinalysis and blood pressure assessment all carried out at Bridge Referrals. A full ophthalmic examination, again carried out here at Bridge Referrals by our Ophthalmology department, did not reveal any abnormalities.
Violet initially improved and so we continued to monitor her closely over the subsequent weeks. Over this period her owner reported that she was behaving normally, but was sadly not yet back to her normal self. She would occasionally fall over, be more clingy and anxious and shake her head.
We decided that additional investigations were necessary to obtain a fuller picture of what was going on with Violet. Our Diagnostic Imaging department initially performed a CT scan. This enabled us to scan the whole body, including her head. This revealed a large mass within the brain cavity. This was contrast enhancing which indicated an area of high blood flow. This is often seen with brain tumours called meningiomas.
Violet has a very dedicated owner and she wanted to do everything she could. She agreed to a surgical approach to Violet’s treatment plan. The next step was to undertake an MRI scan for surgical planning. MRIs can provide a much more detailed picture of the central nervous system. The MRI scan confirmed a mass in the midline of the cerebrum. Given the appearance and location, this was highly likely a tumour known as a meningioma. This is a tumour of the meninges (the outer membranes of the brain).
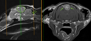
Meningiomas are the most common brain tumour found in cats and are generally benign, having a tendency to cause local compression as they grow, rather than spreading to other parts of the body. In Violet’s case, as her brain tumour grew, she started to show clinical signs, affecting her neurological function. This is because there is a limited amount of space within the skull and when the tumour grows it compresses surrounding brain tissue. With Violet, the tumour had grown to such a size that her cerebellum had herniated through the back of her skull (arrows).


Treatment options are medication, such as steroids, which can reduce the swelling caused by the tumour (perilesional oedema) and reduce local tumour blood flow. Violet initially improved significantly on these prior to her surgery. Radiation therapy was a consideration, however, surgery has been associated with the longest survival times and many cats will be going strong after 2 years.
Surgery was recommended, however, this would not be without risk. Main risks included bleeding and cerebral oedema (swelling), as the major complications. The presence of cerebellar herniation made this even more challenging and our multidisciplinary team ensured that a plan of action was in place for all eventualities, to minimise these risks.

Violet underwent surgery and the tumour was carefully dissected free from the normal brain tissue. The surgery went as planned and Violet made a swift recovery. She was up and purring within an hour! We were all delighted with her progress. Our dedicated nursing staff monitored her and they watched as she tucked into her food that night, as if nothing had happened.
This was a great Bridge Referrals team effort between our departments of Neurology, Oncology, Ophthalmology, Internal Medicine and Soft Tissue Surgery. A special mention needs to go to the skilled veterinary nurses that managed a very difficult anaesthetic and Violet’s intensive care postoperatively. We are very proud of our surgical team who performed this procedure. We are over the moon about little Violet and the success of the treatment plan.

Well done Violet and her dedicated owner


